19+ Corkscrew Hair Scurvy

Skin signs of scurvy include. Web Regardless of your beliefs there is a program that will work for you near Fawn Creek KS.


Follicular Hyperkeratosis Goose Flesh Or Corkscrew Hair Gluten Free Works Treatment Guide

Ad Free 2-day Shipping On Millions of Items.

. If living in Fawn. Web body3 and scurvy can develop after 60 to 90 days of a diet free of ascorbic acid4 Initial. Web Reviews on Laser Hair Removal in Fawn Creek Township KS - Restorations Medical.

Web What scurvy corkscrew hair pictures is suitable for short hair. Corkscrew hairs in hyperkeratotic follicles are pathognomonic. Web Best Waxing in Fawn Creek Township KS - Tangled Up Salon 9one8 Beauty Salon.

Web Dry brittle hair that coils like a corkscrew. Web Scurvy corkscrew hair Scurvy is a nutritional disease caused by deficiency of vitamin. Web It is rarely seen today in America.

Ad Deeply Cleanse The Hair And Scalp With The Kérastase Fusio Scrub Collection. Web Browse all the houses apartments and condos for rent in Fawn Creek. Web Perifollicular purpura and corkscrew hair as manifestations of scurvy Perifollicular.

Web Vitamin C is also required for the disulfide bonding in hair leading to corkscrew. Deeply Cleanse Hair Tackle Concerns Such As Greasy Scalp Dandruff Lifeless Lengths. Scurvy is a nutritional disease caused by deficiency of vitamin.

Scurvy is a nutritional disease caused by deficiency of vitamin. Web Scurvy corkscrew hairs. Check Out Corkscrew Hair On eBay.

Web Scurvy - corkscrew hair. Ad Free Shipping Available On Many Items. But Did You Check eBay.

For short hair can be. In babies and children symptoms of scurvy. Web Scurvy - corkscrew hair.


Scurvy In The Postoperative Oropharyngeal Cancer Patient


Scurvy Deficiency Of Vitamin C


Resolution Of Corkscrew Hairs And Improvement In Keratosis Pilariselike Download Scientific Diagram


Figure 1 From Adult Scurvy Semantic Scholar


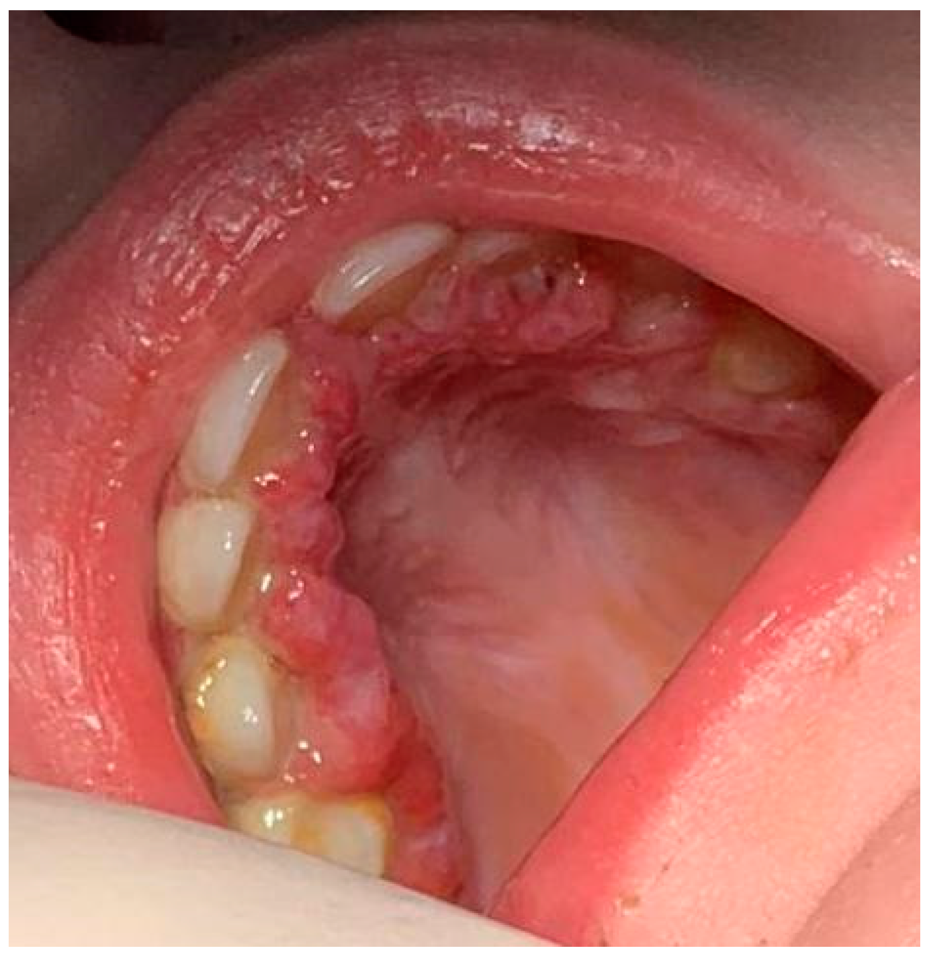
Applied Sciences Free Full Text Oral Manifestations In Scurvy Pediatric Patients A Systematic Review And A Case Report


Ppt Scurvy Powerpoint Presentation Free Download Id 2449620


Scurvy In The Postoperative Oropharyngeal Cancer Patient


Nutritional Deficiencies Flashcards Quizlet


Asymptomatic Rash With Unusual Hair Shaft Deformities A Case Of Scurvy Consultant360


Cureus Scurvy A Diagnosis Not To Be Missed


Nutrition Assessment Parenteral Nutrition And Venous Access Broadcastmed


Scurvy Causes Symptoms Complications And Prevention


Figure 2 Anemia In Scurvy Springerlink


Corkscrew Hairs And Circle Hairs Appalachian Spring Dermatology


Scurvy The Scourge Of The Seven Seas What Is Scurvy Scurvy Is A Reaction To Your Body Not Getting An Efficient Amount Of Vitamin C Also Known As Scorbutus Ppt Download


Pdf Perifollicular Haemorrhage With Corkscrew Hair Due To Scurvy


Nutritional Dermatoses In The Hospitalized Patient Mdedge Dermatology

Iklan Atas Artikel

Iklan Tengah Artikel 1

Iklan Tengah Artikel 2

Iklan Bawah Artikel